Infinix-i Sky +
Canon Infinix-i Sky+ - передовая ангиографическая система, обеспечивающая безупречное покрытие всего тела пациента, удобство работы персонала и высокую скорость получения изображения. Сокращает время задержки дыхания, уменьшает количество контрастного вещества и минимизирует дозу облучения.
Canon Infinix-i Sky+ - передовая ангиографическая система, обеспечивающая безупречное покрытие всего тела пациента, удобство работы персонала и высокую скорость получения изображения. Сокращает время задержки дыхания, уменьшает количество контрастного вещества и минимизирует дозу облучения.
Ангиограф Infinix-i Sky + обеспечивает исчерпывающий охват тела пациента от головы до пальцев ног. Аппарат имеет превосходную скорость получения изображения. Систему снижения дозы облучения пациента. А также оснащен целым рядом передовых алгоритмов для получения максимально качественного изображения.
Сферы применения
- Интервенционная кардиология
- Интервенционная онкология / радиология
- Гибридная операционная система
- Совместная лаборатория
- Электрофизиология
Преимущества Canon Infinix-i Sky +
Высокая скорость
Сдвоенная конструкция C-дуги делает оборот в 80 градусов за 1 секунду. Полный охват составляет 210 градусов. Это позволяет получить изображение любой области всего за 3 секунды.
Высокая скорость работы сокращает время задержки дыхания, уменьшает количество контрастного вещества, минимизирует дозу облучения.
Исчерпывающий охват и удобство работы
Ангиограф Infinix-i Sky + обеспечивает беспрецедентную гибкость позиционирования и удобный доступ к пациенту даже при самых сложных процедурах.
Вращение С-дуги на 270 градусов позволяет получить изображение любой области и делает работу персонала максимально удобной.
Благодаря возможностям позиционирования C-дуги больше нет необходимости перемещения пациента или дополнительных регулировок стола для работы с периферийным оборудованием.
Автоматическая синхронизация детектора и коллиматора для корректного отображения снимков независимо от положения С-дуги.
Экономия места за счет простого и быстрого переворачивания С-дуги в положение АР для проведения биопсии с длинными иглами.
Удобство управления. На всех четырех сторонах детектора, а также на боковой стороне арки расположены кнопки управления позиционированием и выбор основных функций.
Автоматизация движений С-дуги позволяет задавать маршруты парковки, включая обход препятствий.
Превосходное качество изображения и функциональность
В Infinix-i Sky + используется революционная технология ImagingRite для создания высококачественных 3D-изображений.
За формирование изображения отвечает современный плоскопанельный детектор 12х16.
Ангиограф предоставляет широкий спектр экспертных приложений для создания максимально достоверных и качественных изображений при низкой дозе облучения.
Расширенный доступ при биопсии с длинными иглами.
Объединенные с МРТ и КТ трехмерные изображения – для более точной навигации и визуализации анатомии сосудов.
При проведении интервенционных процедур с контрастированием отображение серии снимков в одном 3D изображении помогает отследить распространение контраста в течение разных промежутков времени.
Безопасность
Уникальная система уменьшения лучевой нагрузки DoseRite сочетает в себе конструктивные особенности и программные функции, позволяющие контролировать дозу облучения в режиме реального времени и значительно уменьшать облучение пациента без потери качества изображения.
Особенности Infinix-i Sky+
3D-изображения
3D-цифровую вычитающую ангиографию (DSA), 3D-цифровую ангиографию (DA) и низкоконтрастное изображение (LCI) теперь можно выполнять со стороны головы пациента на левой или правой стороне для повышения эффективности и гибкости.
3D DA и 3D DSA могут выполняться с любой стороны пациента, при этом C-дуга вращается на 210 градусов со скоростью 80 градусов в секунду, обеспечивая возможность очень быстрого захвата с высоким качеством изображения.
Система отслеживания дозы (DTS)
Эксклюзивная технология оценки распределения дозы воздействия на кожу пациента. Система оценивает дозу в режиме реального времени и отображает ее на карте с цветовой кодировкой, чтобы специалисты могли непрерывно контролировать и корректировать экспозицию.
Spot Fluoro
Обеспечивает ассиметричную коллимацию с точной фокусировкой на выбранном участке, сохраняя всю информацию без увеличения дозы.
Импульсная флюороскопия
Помогает устранить мягкое излучение передней и задней кромки кожи пациента.
Импульсная флюороскопия сетки обеспечивает более эффективные рентгеновские импульсы для уменьшения дозы переднего и заднего фронта. Infinix также включает в себя полный выбор частоты кадров, включая уникальные настройки, такие как 20 и 10 кадров в секунду (FPS).
Динамическое табличное управление с выбором из 9 кадров оптимизирует управление дозой и качество изображения.
Виртуальная коллимация
Минимизируйте дозу облучения вашего пациента с помощью виртуальной коллимации.
Расположите коллимацию именно там, где она вам нужна без использования рентгеноскопии. После флюороскопии программное обеспечение виртуальной коллимации моделирует координаты коллиматора, поэтому операторы могут корректировать коллимацию без дополнительной рентгеноскопии.
Технические характеристики Infinix-i Sky +
| Размер комнаты для размещения, м | 5,2*6 м |
| Диагональ монитора, дюймы | 20.1 |
| Поддержка DICOM | да |
| Жесткий диск, Гб | 144 |
| Генератор | двойной инверторный, 100 кВт |
| Максимальный вес пациента, кг | 350 |
| Рентгеноскопия | да |
| Стол | 77,5*110 см |
| Регулировки стола |
продольная 135см боковая 51см наклон 16 градусов |
| Рентген трубка |
2,890 kHU анод 3000 MHU скорость рассеивания тепла 296 HU / мин |
| Максимальная частота кадров | до 60 fps. |
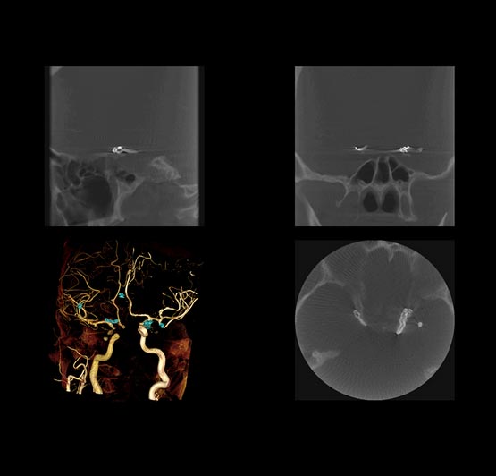
Примеры изображений Infinix-I Sky+
- Снят с производства: Нет
- Товар готов к отгрузке: Нет
Мы гарантируем
Гарантия производителя и продавца
Профессиональные консультации и поддержка на каждом этапе
Комплексные решения
Собственный сервисный центр
Демократичная цена и лизинг
Быстрая и бережная доставка
Частые вопросы
- Стоимость
-
Вопрос: Почему на многие товары не указана цена?
Ответ: Итоговая стоимость оборудования зависит от множества факторов:1) Конфигурация. Многие модели медицинского оборудования являются модульными системами. По желанию клиента некоторые модули могут быть добавлены или исключены из поставки. Яркий пример – ультразвуковые сканеры, каждый из которых может комплектоваться различными наборами датчиков (на выбор из нескольких десятков) и дополнительными модулями (например, для расчетов и 4d-исследований). Таким образом, один и тот же УЗ-сканер может иметь несколько десятков конфигураций, значительно различающихся по цене.
2) Стоимость доставки. Мы предлагаем несколько вариантов доставки, из которых наши клиенты могут выбрать наиболее приемлемый по скорости и цене. Подробнее…
3) Установка и наладка. Многие виды оборудования требуют обязательной установки и наладки с помощью сертифицированного специалиста, выдающего акт ввода в эксплуатацию, что так же сказывается на стоимости.
4) Курс валюты, сроки поставки и прочие менее значимые факторы.
Совет: Если вы видите в каталоге какой-либо компании точную цену на медицинское оборудование – обязательно уточняйте, что входит в эту сумму!
Скидки! У нас действует гибкая система скидок, постоянно проводятся специальные акции и действуют другие привлекательные предложения. Следите за новостями!
- Доставка
-
Территория доставки?
ТИАРА-МЕДИКАЛ осуществляет доставку медицинского оборудования в пределах Таможенного Союза (ЕврАзЭС) транспортными компаниями. За 10 лет работы мы установили тесные партнерские отношения с различными транспортными компаниями и предлагаем нашим покупателям наиболее выгодные варианты доставки.
В каких случаях бесплатная доставка?
Доставка по Санкт-Петербургу – БЕСПЛАТНО.
Доставка до транспортных компаний – БЕСПЛАТНО. - Лизинг
-
Компания ТИАРА-МЕДИКАЛ имеет многолетний опыт продажи медицинского оборудования в лизинг. Мы сотрудничаем с лизинговыми компаниями, выбранными покупателем, или можем порекомендовать наших проверенных партнеров.
Какое оборудование можно купить в лизинг?
В лизинг предоставляется оборудование для УЗИ, томографии, рентгенологии, эндоскопии, офтальмологии, косметологии. А также любое медицинское оборудование стоимостью от 1 000 000 рублей. Обратитесь за расчетом выгодного приобретения в лизинг к нашим специалистам по телефону: 8 (800) 500-26-76
Как быстро принимаем решение?
Срок рассмотрения от 1 дня.
С какими лизинговыми компаниями мы сотрудничаем?
В основном с "Элемент лизинг" и "Балтийский лизинг", также готовы работать с другими компаниями, которые выгодны и удобны для Вас.
- Сервис
-
Мы создали лучшую систему сервисной поддержки медицинского оборудования, на протяжении всего срока службы. В нашей команде работают высококвалифицированные инженеры, систематически совершенствующие свои навыки на заводах производителей мед. оборудования. Мы оказываем исчерпывающий спектр услуг по поддержке и ремонту оборудования.
При поставке мы предлагаем
Установку, настройку, ввод в эксплуатацию (по всей территории РФ).
Обслуживание после поставки
Наш собственный лицензированный сервисный центр производит:
- Гарантийное и пост-гарантийное комплексное обслуживание медицинской техники.
- Гарантийный и пост-гарантийный ремонт.
- Выездной инструктаж пользователей.
- Поддержку документацией и учебными материалами.
- Консультации на любом этапе использования.Отдел запчастей медицинского оборудования
Подбор и продажа оригинальных запчастей для медицинской техники.
- Гарантии
-
ТИАРА-МЕДИКАЛ осуществляет продажу медицинского оборудования, инструментов и материалов в соответствии с законодательством РФ. Наше оборудование имеет всю необходимую разрешительную документацию, гарантию производителя и продавца.
Гарантийный срок на медицинское оборудование
Срок базовой гарантии на мед. оборудование составляет 12 месяцев со дня покупки и может быть увеличен в зависимости от индивидуальных гарантийных условий производителя!
Как заказать гарантийное обслуживание
Гарантийное сервисное обслуживание осуществляется по запросу в сервисный центр ТИАРА-МЕДИКАЛ. Звоните по тел.: 8 (800) 500-26-76 или оставьте заявку на странице сервисного центра
Кто проводит обслуживание медицинского оборудования
Мы имеем собственный лицензированный сервисный центр для обслуживания и устранения неисправностей и команду сертифицированных специалистов выездного обслуживания техники. Работы проводятся согласно стандартам производителя. Доставляем оборудование в сервисный центр - бесплатно!





























