Система МРТ Philips Ingenia Ambition 1.5T X
Philips Ingenia Ambition 1.5 T X – это магнитно-резонансный томограф с полем обзора 55 см и индукцией магнитного поля 1,5 Тл.
В МРТ применяются технологии искусственного интеллекта, позволяющие расширить возможности диагностики и ускорить её. Система микроциркулярного охлаждения повышает экономичность и безопасность эксплуатации аппарата.
Особенности Philips Ingenia Ambition 1.5 T X:
- Более эффективная микроциркулярная система охлаждения BlueSeal;
- Всего 7 литров жидкого гелия надежно загерметизированы в магните;
- Возможность применения с условно МР-совместимыми имплантатами;
- Исследования проводятся быстрее до 50% для всех анатомических областей при 2D и 3D-сканировании, поле обзора 55 см;
- Расширенные возможности ускоренных и точных исследований в неврологии, онкологии, опорно-двигательного аппарата;
- Усовершенствование и ускорение укладки пациента, аудио- и видеоматериалы для более комфортной бесконтактной укладки;
- Экономия на строительных работах, обслуживании, минимизация простоев, не нужны трубы для аварийного выброса гелия.
Регистрационное удостоверение № РЗН 2019/9428
Система магнитно-резонансной томографии Ingenia Ambition с принадлежностями, вариант исполнения: Ingenia Ambition X
Система МРТ Philips Ingenia Ambition 1.5 T X разработана с учетом требований современной магнитно-резонансной томографии и обеспечивает высокую скорость и качество исследований различных органов, включая сложные анатомические области.
Интеллектуальные инструменты Ingenia Ambition X сокращают время подготовки к исследованию, его проведения и расшифровки результатов, упрощают позиционирование пациентов и снижают психологическую нагрузку на них из-за диагностики.
Полностью загерметизированный магнит с системой микроциркулярного охлаждения BlueSeal содержит всего 7 литров гелия, не требует монтажа труб и сложного обслуживания. Его применение повышает безопасность и экономичность эксплуатации аппарата МРТ, исключая длительные простои и выкипание гелия.
Преимущества системы магнитно-резонансной томографии Philips Ingenia Ambition 1.5 T X
Технология микроциркулярного охлаждения: минимум гелия, максимум надежности
В аппарате применена революционная технология охлаждения, для которой нужно всего 7 литров жидкого гелия (для стандартных аппаратов нужно 1500 л.). Гелий надёжно загерметизирован в магните на все время службы аппарата МРТ. Это позволяет:
- Избежать длительных простоев из-за утечек гелия и расходов, связанных с ними;
- Ускорить монтаж аппарата (не нужны трубы аварийного выброса гелия);
- Сократить площадь установки аппарата и требования к помещениям;
- Снизить вес магнитно-резонансного томографа на 900 кг
И повысить экономическую эффективность МР-исследований для клиники.
Восстановление магнитного поля за 24 часа
Набор функций EasySwitch позволяет управлять магнитным полем с консоли. Поэтому аппарат можно легко отключить при необходимости, а после решения проблемы достаточно быстро включить, сократив простой кабинета МРТ.
Высокое качество визуализации и точность диагностики
Инновационная система охлаждения Philips Ingenia Ambition 1.5T X позволяет на протяжении всего рабочего дня проводить МРТ-исследования без нарушения однородности поля. Широкое поле обзора и высокая линейность градиентов вместе с ИИ-инструментами обеспечивают качественную диагностику сложных анатомических областей.
Точные и полные данные о состоянии пациента в ходе сканирования
Система оснащена 12" интерактивным сенсорным экраном VitalScreen, на котором отражаются данные о:
- Физиологическом состоянии пациента;
- Продолжительности исследования;
- Позиционировании пациента;
- Используемой катушке,
а также, при необходимости, о контрастном веществе.
Оператор больше не должен сам следить за триггером дыхания пациента, он получает надежный физиологический сигнал с помощью технологии VitalEye.
Оптимизация работы кабинета с одним оператором
Сенсорная панель VitalScreen позволяет настроить параметры визуализации и запустить исследование касанием руки. SmartStart автоматически запускает программу исследования. SmartExam планирует и выполняет протокол ExamCard в фоновом режиме. SmartLine автоматически выполняет постобработку изображений и передаёт их в систему PACS в готовом для анализа виде. Средства искусственного интеллекта помогают проводить МР-сканирование быстро, точно и эффективно, при этом снижаются требования к подготовке и опыту персонала.
Ускорение диагностики с МРТ Philips Ingenia Ambition 1.5T X
Интеллектуальные инструменты аппарата позволяют ускорить все процессы, входящие в диагностику пациента: от позиционирования до расшифровки данных. Позиционирование пациента производится бесконтактно, с помощью аудио- и видео-инструкций, и занимает менее минуты.
Стандартизация и автоматизация МР-сканирования оптимизирует работу диагностического кабинета.
Технология Compressed SENSE ускоряет 2D и 3D-сканирование до 50%, при этом качество изображений практически не страдает. Это позволяет обследовать больше пациентов в течение рабочего дня, а также принять быстрые врачебные решения в критических ситуациях.
Расширение возможностей и ускорение диагностики
Магнитно-резонансный томограф Philips Ingenia Ambition 1.5T X обеспечивает более быстрое и точное решение задач в неврологии, онкологии, при обследовании опорно-двигательного аппарата и других органов и систем.
Некоторые инструменты, используемые в аппарате:
- Ingenia Ambition – высококачественная визуализация и быстрое сканирование в неврологии;
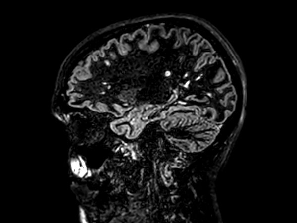
- Технологии 3D BrainVIEW и SpineVIEW – получение данных с высоким разрешением за одно сканирование в разных проекциях, в том числе в наклонных;
- Технология 3D NerveVIEW – повышение качества визуализации нервных сплетений благодаря T2-взвешенному сканированию высокого разрешения с подавлением сигнала от жира и сосудов;
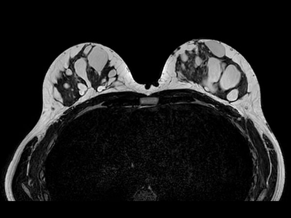
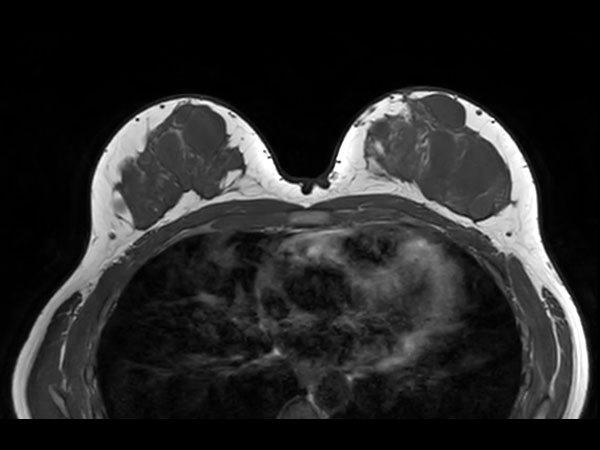
- Compressed SENSE – повышение разрешения изображений на 25% при том же времени сканирования молочных желез и органов малого таза;
- МРТ всего тела менее чем за 30 минут для онкологической диагностики (Compressed SENSE, MobiView и MobiFlex);
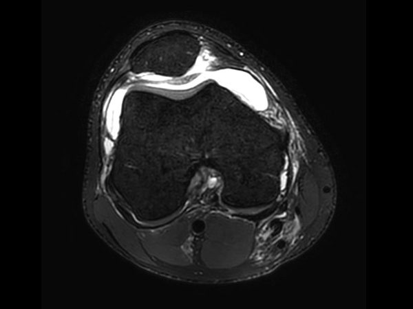
- Цифровая широкополосная архитектура dStream и Compressed SENSE MSK – превосходное качество визуализации мягких тканей и костей для получения детальной информации о структуре костей, хрящей и менисков. Изотропные 3D-изображения с субмиллиметровым разрешением (0,7 мм и менее) меньше чем за 5 минут, снижение уровня шума, повышение четкости сигнала.
Сканирование пациентов с условно МР-совместимыми имплантатами
Подсказки Philips Ingenia Ambition 1.5T X пошагово направляют оператора при вводе параметров, указанных производителем имплантата. Учет параметров происходит автоматически с помощью технологии ScanWise Implant, что исключает ошибки из-за человеческого фактора.
Комфортные МР-исследования с Ingenia Ambition X
Бесконтактное позиционирование пациентов снижает уровень стресса перед процедурой. Сканирование проходит проще и быстрее за счет голосовых и визуальных инструкций, удобного стола и специального матраса ComfortPlus.
Технология Ambient Experience обеспечивает эффект погружения в видео- и аудиоматериалы и отвлекает пациента от переживаний, создавая приятную, расслабляющую атмосферу.
Функция AutoVoice обеспечивает инструктирование пациентов в ходе всего исследования.
Технология ComforTone снижает акустический шум до 80% при сохранении качества сканирования. Она может применяться в традиционных исследованиях и исследованиях при высоких значениях градиентов.
Сокращение времени задержки дыхания до 40%
Одной из проблем при проведении абдоминальных и кардиологических исследований у детей и пациентов с респираторными заболеваниями является необходимость многократных и иногда длительных задержек дыхания. Ускорение МР-диагностики с помощью технологии Compressed SENSE сокращает время задержки дыхания до 40%, повышая комфорт исследований и уменьшая необходимость повторных сканирований.
Защита конфиденциальности данных пациентов
В МРТ Philips Ingenia Ambition 1.5T X реализован принцип глубокой защиты от кибератак. Стратегия защиты данных пациентов состоит из шести уровней: брандмауэра, усиления защищенности операционной системы и приложений, защиты от вредоносных программ, системы авторизации пользователей и аутентификации, ведения журналов аудита и шифрования данных пациента.
Система имеет разрешение на эксплуатацию от Минздрава США в соответствии с нормативными требованиями и требованиями к оценке рисков в рамках системы управления рисками (RMF).
Технические характеристики магнитно-резонансного томографа Philips Ingenia Ambition 1.5 T X
Герметичная магнитная система
|
Напряженность поля |
1,5 Тл |
|
Диаметр тоннеля |
70 см |
|
Вес магнита |
2300 кг |
|
Стандартное значение однородности V-RMS |
≤1,1 ppm (при DSV 45 см) |
|
Технология микроциркулярного охлаждения |
Да |
|
Максимальный размер поля обзора |
55 см |
|
Тип магнитных контроллеров |
Цифровой, с функцией адаптивного интеллекта |
|
Скорость выкипания криогена |
Неприменимо, полностью герметичный |
|
Требования к вентиляционным трубам |
Неприменимо, полностью герметичный |
Градиенты Omega HP
|
Максимальная амплитуда для каждой оси |
45 мТл/м |
|
Максимальная скорость нарастания для каждой оси |
200 Тл/м/с |
Сведения о месте эксплуатации
|
Требования к месту установки |
3,4 x 5,3 м |
|
Мин. высота потолка |
2,56 м |
Приемное РЧ-устройство
|
Количество независимых каналов приема |
Не зависит от канала |
|
Местоположение аналого-цифрового преобразователя (АЦП) |
Внутри катушки, рядом с приемными элементами |
|
Цепь сигналов от катушки к реконструктору |
Полностью цифровая |
|
dStream |
Да |
Рабочий процесс с одним оператором
|
SmartSelect |
Есть |
|
SmartExam |
Есть |
|
SmartTouch |
Есть |
|
SmartLink |
Есть |
|
AutoStart |
Есть |
|
SmartLine |
Есть |
Купить систему магнитно-резонансной томографии Philips Ingenia Ambition 1.5 T X с доставкой по России и монтажом можно в «Тиара-Медикал». Для уточнения условий позвоните нам или закажите обратный звонок.
- Снят с производства: Нет
- Товар готов к отгрузке: Нет
Мы гарантируем
Гарантия производителя и продавца
Профессиональные консультации и поддержка на каждом этапе
Комплексные решения
Собственный сервисный центр
Демократичная цена и лизинг
Быстрая и бережная доставка
Частые вопросы
- Стоимость
-
Вопрос: Почему на многие товары не указана цена?
Ответ: Итоговая стоимость оборудования зависит от множества факторов:1) Конфигурация. Многие модели медицинского оборудования являются модульными системами. По желанию клиента некоторые модули могут быть добавлены или исключены из поставки. Яркий пример – ультразвуковые сканеры, каждый из которых может комплектоваться различными наборами датчиков (на выбор из нескольких десятков) и дополнительными модулями (например, для расчетов и 4d-исследований). Таким образом, один и тот же УЗ-сканер может иметь несколько десятков конфигураций, значительно различающихся по цене.
2) Стоимость доставки. Мы предлагаем несколько вариантов доставки, из которых наши клиенты могут выбрать наиболее приемлемый по скорости и цене. Подробнее…
3) Установка и наладка. Многие виды оборудования требуют обязательной установки и наладки с помощью сертифицированного специалиста, выдающего акт ввода в эксплуатацию, что так же сказывается на стоимости.
4) Курс валюты, сроки поставки и прочие менее значимые факторы.
Совет: Если вы видите в каталоге какой-либо компании точную цену на медицинское оборудование – обязательно уточняйте, что входит в эту сумму!
Скидки! У нас действует гибкая система скидок, постоянно проводятся специальные акции и действуют другие привлекательные предложения. Следите за новостями!
- Доставка
-
Территория доставки?
ТИАРА-МЕДИКАЛ осуществляет доставку медицинского оборудования в пределах Таможенного Союза (ЕврАзЭС) транспортными компаниями. За 10 лет работы мы установили тесные партнерские отношения с различными транспортными компаниями и предлагаем нашим покупателям наиболее выгодные варианты доставки.
В каких случаях бесплатная доставка?
Доставка по Санкт-Петербургу – БЕСПЛАТНО.
Доставка до транспортных компаний – БЕСПЛАТНО. - Лизинг
-
Компания ТИАРА-МЕДИКАЛ имеет многолетний опыт продажи медицинского оборудования в лизинг. Мы сотрудничаем с лизинговыми компаниями, выбранными покупателем, или можем порекомендовать наших проверенных партнеров.
Какое оборудование можно купить в лизинг?
В лизинг предоставляется оборудование для УЗИ, томографии, рентгенологии, эндоскопии, офтальмологии, косметологии. А также любое медицинское оборудование стоимостью от 1 000 000 рублей. Обратитесь за расчетом выгодного приобретения в лизинг к нашим специалистам по телефону: 8 (800) 500-26-76
Как быстро принимаем решение?
Срок рассмотрения от 1 дня.
С какими лизинговыми компаниями мы сотрудничаем?
В основном с "Элемент лизинг" и "Балтийский лизинг", также готовы работать с другими компаниями, которые выгодны и удобны для Вас.
- Сервис
-
Мы создали лучшую систему сервисной поддержки медицинского оборудования, на протяжении всего срока службы. В нашей команде работают высококвалифицированные инженеры, систематически совершенствующие свои навыки на заводах производителей мед. оборудования. Мы оказываем исчерпывающий спектр услуг по поддержке и ремонту оборудования.
При поставке мы предлагаем
Установку, настройку, ввод в эксплуатацию (по всей территории РФ).
Обслуживание после поставки
Наш собственный лицензированный сервисный центр производит:
- Гарантийное и пост-гарантийное комплексное обслуживание медицинской техники.
- Гарантийный и пост-гарантийный ремонт.
- Выездной инструктаж пользователей.
- Поддержку документацией и учебными материалами.
- Консультации на любом этапе использования.Отдел запчастей медицинского оборудования
Подбор и продажа оригинальных запчастей для медицинской техники.
- Гарантии
-
ТИАРА-МЕДИКАЛ осуществляет продажу медицинского оборудования, инструментов и материалов в соответствии с законодательством РФ. Наше оборудование имеет всю необходимую разрешительную документацию, гарантию производителя и продавца.
Гарантийный срок на медицинское оборудование
Срок базовой гарантии на мед. оборудование составляет 12 месяцев со дня покупки и может быть увеличен в зависимости от индивидуальных гарантийных условий производителя!
Как заказать гарантийное обслуживание
Гарантийное сервисное обслуживание осуществляется по запросу в сервисный центр ТИАРА-МЕДИКАЛ. Звоните по тел.: 8 (800) 500-26-76 или оставьте заявку на странице сервисного центра
Кто проводит обслуживание медицинского оборудования
Мы имеем собственный лицензированный сервисный центр для обслуживания и устранения неисправностей и команду сертифицированных специалистов выездного обслуживания техники. Работы проводятся согласно стандартам производителя. Доставляем оборудование в сервисный центр - бесплатно!

