Mindray M6
Портативный ультразвуковой аппарат среднего класса Mindray M6 - один из примеров, когда УЗИ сканер может быть одновременно и достаточно мощным для большинства стандартных исследований, и компактным. Это позволяет работать как с лежачими пациентами в стационарах, так и с пациентами, которые находятся у себя дома.
Цена указана на аппарат без датчиков и опций, под заказ, по 100% предоплате, без учёта стоимости доставки и монтажа. Стоимость необходимой комплектации рассчитывается по запросу в зависимости от количества датчиков, опций, курсов валют и необходимых сроков.
Mindray M6 в базовой комплектации обладает такими особенностями, как iBeam™, iClear™, HR Flow™, iTouch™, iZoom™, iScanhelper. Также Вы можете дополнить модель M6 другими аппаратными и программными опциями, например, Smart 3D™ для получения трехмерного (3D) ультразвукового изображения методом свободной руки без использования объемных датчиков. Широкий выбор датчиков позволяет подобрать нужные именно под Ваши требования.
Для комфортной работы в пределах одного лечебного учреждения можно дополнительно заказать мобильную тележку UMT-200 или мобильную тележку с регулировкой высоты UMT-300. Встроенная батарея делает аппарат ещё более мобильным. Большая ёмкость жёсткого диска - 1 TB - позволит сохранить все нужные изображения, чтобы смотреть на динамику пациента. Также УЗИ сканер подключается к сети DICOM для решения различных задач, от сохранения на сервер до структурированных отчётов.
Базовая конфигурация Mindray M6
- 15" монитор высокого разрешения
- Режимы сканирования: B/M/Color Dopler/Color M/Power/Directional Power Doppler Flow Imaging
- PW Doppler, включая HPRF (High Pulsed Repitition Frequency)
- Тканевая гармоника PSH™ (Phase Shift Harmonic Imaging)
- iBeam™ - многолучевое сложносоставное сканирование
- iClear™ - адаптивный алгоритм подавления зернистости
- HR Flow™ - режим отображения кровотока с высоким временным и пространственным разрешением для точной и однородной визуализации сосудов, в том числе самых мелких
- iTouch™ - автоматическая оптимизация изображений
- iZoom™ - увеличение изображения во весь экран
- Программы расчетов и измерений для абдоминальных исследований (Abdomen/General Software Package)
- iScanhelper - ассистент сканирования
- 1TB жесткий диск с программой ведения базы данных пациента iStation™ Patient Information Management
- Разъемы: S-Video Output и USB 2.0
- Блок питания и литий-ионная батарея
- Кейс (чемодан) для транспортировки
Возможные аппаратные и программные опции Mindray M6
- CW - блок постоянно-волнового доплера
- 4D/TEE - блок объемного сканирования в реальном времени
- iScape™ View - режим панорамного сканирования в реальном масштабе времени
- Smart 3D™ - получение трехмерного (3D) ультразвукового изображения методом свободной руки без использования объемных датчиков
- Smart OB™ - программа автоматического измерения основных параметров биометрии плода в акушерстве
- IMT - измерения и анализ толщины комплекса интимамедии (КИМ) сонной артерии
- Free Xros M™ - анатомический М-режим
- Free Xros CM™ - огибающий анатомический М-режим
- TDI - тканевой допплер, включая цветное картирование, импульсный тканевой допплер, энергетический тканевой допплер и тканевой М-режим
- TDI QA - количественный анализ тканевого доплера
- Stress Echo - пакет для проведения и оценки результатов стресс-эхокардиографии
- Natural Touch Elastography - опция оценки эластичности ткани методом компрессионной эластографии, с программой анализа
- UWN Contrast Imaging™ - опция для проведения обследования с применением контрастных веществ
- iNeedle™ - режим улучшенной визуализации иглы при инвазивных процедурах
Программы измерений и расчетов для различных типов исследований
- Shared Service Package - предустановленные параметры, аннотации, маркеры, программы измерений для абдоминальных исследований, акушерства, гинекологии, кардиологии, ангиологии, исследований малых органов, урологии, педиатрии, неотложной медицины
- Obstetrics package - предустановленные параметры, аннотации, маркеры, программы измерений для акушерства
- Gynecology package - предустановленные параметры, аннотации, маркеры, программы измерений для гинекологии
- Cardiac package - предустановленные параметры, аннотации, маркеры, программы измерений для кардиологии
- Vascular package - предустановленные параметры, аннотации, маркеры, программы измерений для ангиологии, включая транскраниальные исследования
- Small parts package - предустановленные параметры, аннотации, маркеры, программы измерений для исследования малых (поверхностных) органов
- Urology package - предустановленные параметры, аннотации, маркеры, программы измерений для урологии
- Pediatrics package - предустановленные параметры, аннотации, маркеры, программы измерений для педиатрии
- Nerve package - программы для регионарной анестезии
- Emergency Medicine package - предустановленные параметры, аннотации, маркеры, программы измерений для неотложной помощи
Подключение к сети DICOM
- Basic - базовый набор опций DICOM: сохранение на сервер и медиа-носители, печать
- Worklist - опция загрузки списка задач с сервера
- Query/Retrieve - запрос и получение данных пациента и изображений с сервера
- MPPS - опция DICOM MPPS
- OB/GYN S/R - структурированный отчет по АК/ГИН
- Cardiac S/R - структурированный отчет по Кардиологии
- Vascular S/R - структурированный отчет по Ангиологии
Возможные датчики для Mindray M6
|
3С5s |
Конвексный датчик для абдоминальных исследований, акушерства, гинекологии, урологии и сосудистых исследований |
|
6С2s |
Микроконвексный высокочастотный датчик для педиатрии и неонатологии |
|
C11-3s |
Микроконвексный высокочастотный датчик для педиатрии и неонатологии |
|
4СD4s |
Конвексный датчик объёмного сканирования в реальном масштабе времени для абдоминальных и акушерско-гинекологических исследований (необходим модуль 4D) |
|
D7-2s |
Конвексный датчик объёмного сканирования в реальном масштабе времени для абдоминальных и акушерско-гинекологических исследований (необходим модуль 4D). Уменьшенные габариты и вес |
|
7L4s |
Линейный датчик для поверхностных органов и структур, периферических сосудов, неонатологии и педиатрии |
|
7L5s |
Широкий линейный датчик для поверхностных органов и структур, периферических сосудов, неонатологии и педиатрии |
|
L14-6s |
Высокочастотный линейный датчик для поверхностных органов и структур, периферических сосудов, неонатологии и педиатрии |
|
L14-6Ns |
Высокочастотный линейный датчик для поверхностных органов и структур, периферических сосудов, неонатологии и педиатрии |
|
L7-3s |
Низкочастотный линейный датчик для глубокорасположенных структур и сосудов верхних и нижних конечностей |
|
7LT4s |
Линейный интраоперационный Т-образный датчик |
|
6СV1s |
Микроконвексный внутриполостной датчик для гинекологии, акушерства, урологии |
|
V10-4s |
Микроконвексный внутриполостной датчик для гинекологии, акушерства, урологии |
|
V10-4Bs |
Микроконвексный внутриполостной датчик для гинекологии, акушерства, урологии, изогнутая рукоятка |
|
6LB7s |
Эндоректальный биплановый (конвекс+линейный) датчик для урологии |
|
2P2s |
Секторный фазированный датчик для кардиологических, транскраниальных и абдоминальных исследований |
|
CW2s |
Фазированный карандашный датчик для "слепых" сосудистых исследований, 2 МГц |
|
CW5s |
Фазированный карандашный датчик для "слепых" сосудистых исследований, 5 МГц |
Возможные дополнительные аксессуары для аппарата Mindray M6
|
UMT-200 |
мобильная тележка |
|
UMT-300 |
мобильная тележка с регулировкой высоты столешницы |
|
Power Supply Module for UMT-300 |
блок питания для периферийных устройств (принтер, DVD-рекордер, внешний монитор) для тележки UMT-300 |
|
PEM-21 |
разветвитель на три порта для подключения датчиков (крепится к тележке) |
|
IOM-21 (iDock) |
блок портов для ввода/вывода сигналов: USB, ECG, COM, Аудио, Микрофон, пульт управления, композитное видео, DVI-I |
|
ECG-21, ECG Module (IEC) |
модуль ЭКГ (IEC) (необходим модуль IOM-21) |
|
V/A module |
модуль вывода аудио/видео сигналов |
|
External DVD-RW |
внешний DVD-RW дисковод |
|
Battery Pack (LI23I001A) |
дополнительная аккумуляторная батарея |
|
Backpack |
рюкзак для переноски |
|
M-Scan Pack |
набор ремней для сканирования стоя |
|
Footswitch |
водонепроницаемый ножной переключатель, двухклавишный (USB) |
Видео Mindray M6
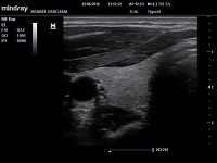
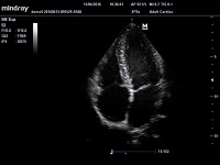
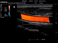
Клинические изображения
- Снят с производства: Нет
- Товар готов к отгрузке: Нет
- Класс: средний
- Вид: Портативный
- Цена от: от
Мы гарантируем
Гарантия производителя и продавца
Профессиональные консультации и поддержка на каждом этапе
Комплексные решения
Собственный сервисный центр
Демократичная цена и лизинг
Быстрая и бережная доставка
Частые вопросы
- Стоимость
-
Вопрос: Почему на многие товары не указана цена?
Ответ: Итоговая стоимость оборудования зависит от множества факторов:1) Конфигурация. Многие модели медицинского оборудования являются модульными системами. По желанию клиента некоторые модули могут быть добавлены или исключены из поставки. Яркий пример – ультразвуковые сканеры, каждый из которых может комплектоваться различными наборами датчиков (на выбор из нескольких десятков) и дополнительными модулями (например, для расчетов и 4d-исследований). Таким образом, один и тот же УЗ-сканер может иметь несколько десятков конфигураций, значительно различающихся по цене.
2) Стоимость доставки. Мы предлагаем несколько вариантов доставки, из которых наши клиенты могут выбрать наиболее приемлемый по скорости и цене. Подробнее…
3) Установка и наладка. Многие виды оборудования требуют обязательной установки и наладки с помощью сертифицированного специалиста, выдающего акт ввода в эксплуатацию, что так же сказывается на стоимости.
4) Курс валюты, сроки поставки и прочие менее значимые факторы.
Совет: Если вы видите в каталоге какой-либо компании точную цену на медицинское оборудование – обязательно уточняйте, что входит в эту сумму!
Скидки! У нас действует гибкая система скидок, постоянно проводятся специальные акции и действуют другие привлекательные предложения. Следите за новостями!
- Доставка
-
Территория доставки?
ТИАРА-МЕДИКАЛ осуществляет доставку медицинского оборудования в пределах Таможенного Союза (ЕврАзЭС) транспортными компаниями. За 10 лет работы мы установили тесные партнерские отношения с различными транспортными компаниями и предлагаем нашим покупателям наиболее выгодные варианты доставки.
В каких случаях бесплатная доставка?
Доставка по Санкт-Петербургу – БЕСПЛАТНО.
Доставка до транспортных компаний – БЕСПЛАТНО. - Лизинг
-
Компания ТИАРА-МЕДИКАЛ имеет многолетний опыт продажи медицинского оборудования в лизинг. Мы сотрудничаем с лизинговыми компаниями, выбранными покупателем, или можем порекомендовать наших проверенных партнеров.
Какое оборудование можно купить в лизинг?
В лизинг предоставляется оборудование для УЗИ, томографии, рентгенологии, эндоскопии, офтальмологии, косметологии. А также любое медицинское оборудование стоимостью от 1 000 000 рублей. Обратитесь за расчетом выгодного приобретения в лизинг к нашим специалистам по телефону: 8 (800) 500-26-76
Как быстро принимаем решение?
Срок рассмотрения от 1 дня.
С какими лизинговыми компаниями мы сотрудничаем?
В основном с "Элемент лизинг" и "Балтийский лизинг", также готовы работать с другими компаниями, которые выгодны и удобны для Вас.
- Сервис
-
Мы создали лучшую систему сервисной поддержки медицинского оборудования, на протяжении всего срока службы. В нашей команде работают высококвалифицированные инженеры, систематически совершенствующие свои навыки на заводах производителей мед. оборудования. Мы оказываем исчерпывающий спектр услуг по поддержке и ремонту оборудования.
При поставке мы предлагаем
Установку, настройку, ввод в эксплуатацию (по всей территории РФ).
Обслуживание после поставки
Наш собственный лицензированный сервисный центр производит:
- Гарантийное и пост-гарантийное комплексное обслуживание медицинской техники.
- Гарантийный и пост-гарантийный ремонт.
- Выездной инструктаж пользователей.
- Поддержку документацией и учебными материалами.
- Консультации на любом этапе использования.Отдел запчастей медицинского оборудования
Подбор и продажа оригинальных запчастей для медицинской техники.
- Гарантии
-
ТИАРА-МЕДИКАЛ осуществляет продажу медицинского оборудования, инструментов и материалов в соответствии с законодательством РФ. Наше оборудование имеет всю необходимую разрешительную документацию, гарантию производителя и продавца.
Гарантийный срок на медицинское оборудование
Срок базовой гарантии на мед. оборудование составляет 12 месяцев со дня покупки и может быть увеличен в зависимости от индивидуальных гарантийных условий производителя!
Как заказать гарантийное обслуживание
Гарантийное сервисное обслуживание осуществляется по запросу в сервисный центр ТИАРА-МЕДИКАЛ. Звоните по тел.: 8 (800) 500-26-76 или оставьте заявку на странице сервисного центра
Кто проводит обслуживание медицинского оборудования
Мы имеем собственный лицензированный сервисный центр для обслуживания и устранения неисправностей и команду сертифицированных специалистов выездного обслуживания техники. Работы проводятся согласно стандартам производителя. Доставляем оборудование в сервисный центр - бесплатно!

























