Содержание:
- УЗИ с контрастом VS допплер
- Когда необходимо выполнять УЗИ с контрастированием
- Преимущества и ограничения метода
- Ультразвуковые системы Mindray для работы с контрастными веществами
- Заключение

Контрастный ультразвук (контрастная эхография, контраст-усиленное УЗИ, КУУЗИ, contrast-enhanced ultrasonography, CEUS) — метод ультразвуковой диагностики с применением контрастных препаратов, обеспечивающих улучшение визуализации и детализации исследуемого органа. 1 Использование внутривенных контрастных агентов значительно повышает разрешающие способности ультразвукового исследования и выводит УЗИ-диагностику на новый уровень. 2
УЗИ с контрастом VS допплер
В рутинной врачебной практике для исследования кровотока повсеместно используются допплерография и дуплексное сканирование сосудов. Эти базовые функции имеют большинство УЗИ-аппаратов.
В основе допплерографии лежит способность эритроцитов отражать ультразвуковые волны. По характеру полученного сигнала можно определить качество и скорость кровотока и косвенно оценить состояние сосудов. Однако допплер не позволяет визуализировать микроциркуляторное русло и глубокие сосуды тела человека, поэтому считается скрининговым (первичным) методом диагностики макроангиопатий.
В свою очередь, при КУУЗИ визуализация сосудистой системы достигается за счет использования высокоэхогенных контрастных веществ. В качестве контрастных агентов выступают микропузырьки инертного газа (гексафторида серы или перфторуглерода) диаметром не более 5 нм. Контрастирование сосудов достигается за счет ультразвуковой кавитации: ультразвук заставляет микропузырьки газа колебаться, что создает сигнал, отличный от окружающих тканей, который и улавливает датчик прибора. 3 В результате на экран монитора выводится четкое изображение состояния кровотока той или иной области тела на любой глубине залегания, способное по информативности конкурировать с результатами магнитно-резонансной и компьютерной томографии. 4

Когда необходимо выполнять УЗИ с контрастированием
Данная методика находит все более широкое применение в повседневной практике благодаря своей информативности и безопасности. УЗИ с контрастом успешно применяется для исследования предстательной железы, щитовидной железы, мочевого пузыря, надпочечников, больших слюнных желез, суставов, околощитовидных желез, мошонки, органов желудочно-кишечного тракта, лимфатических узлов, глазных орбит, поверхностных образований кожи.
Основными направлениями использования контрастного УЗИ являются:
- Онкологическая практика. Стимуляция ангиогенеза в ходе роста опухолей и усиление локальной капиллярной сети приводят к грубым изменениям сосудистого рисунка, что дает КУУЗИ возможность:
- диагностировать первичные опухоли и метастазы в паренхиматозных органах, определять их количество и размер, локализацию по отношению к сосудистым структурам;
- дифференцировать воспалительные изменения от доброкачественных новообразований (кист, гиперплазий, атером и т. д.);
- оценивать эффективность химиотерапии;
- детализировать мелкие гемангиомы. 5
- Нефрологическая практика. Контрастные инертные газы не имеют нефротоксического действия и выводятся из организма без дополнительной нагрузки на почки. Поэтому КУУЗИ позволяет:
- определять активность кровотока в почках у пациентов, переживших их трансплантацию;
- визуализировать почечную перфузию при хронической болезни почек и выявлять степень фиброза органа.
- Кардиологическая практика. КУУЗИ считается одним из наиболее перспективных направлений в исследовании строения и функции левого желудочка, не уступая в ряде случаев по чувствительности МРТ сердца. ЭхоКГ с использованием контраста позволяет:
- определять нарушения локальной сократимости;
- оценивать фракции выброса;
- обнаруживать внутриполостные образования сердца (тромбы, миксомы);
- диагностировать гипертрофическую кардиомиопатию, эозинофильный миокардит, псевдоаневризмы, некомпактный миокард;
- выявлять флотирующие внутрисосудистые структуры, не лоцируемые стандартными УЗИ-методиками. 6 7
Особенно ценна возможность проведения КУУЗИ для пациентов, которым противопоказаны магнитно-резонансное и компьютерно-томографическое исследования. Нередко контрастное УЗИ остается единственным доступным вариантом для установления и документального подтверждения диагноза.
Преимущества и ограничения метода
УЗИ с контрастным усилением — передовая методика, прогрессивно входящая в современную врачебную практику. Это не случайно. КУУЗИ имеет целый ряд преимуществ:
- После попадания в кровоток контрастное вещество не диффундирует в интерстициальные ткани, а полностью сохраняется внутри сосудов. Таким образом, УЗИ с контрастированием отличает высокая информативность в визуализации сосудистого русла и возможность многократного введения препарата без паренхиматозного усиления. 8
- Безопасность метода для пациента и врача доказана при многих клинических состояниях (в том числе в педиатрической практике), а негативные последствия выявлены в минимальном числе наблюдений (0,01%). Выведение контрастного агента происходит путем диффузии газа через альвеолярно-капиллярную мембрану в выдыхаемый воздух. Такая особенность фармакодинамики делает применение инертного газа приоритетным для пациентов с почечной недостаточностью, которым противопоказано использование традиционных контрастных веществ для КТ- и МРТ-сканирования. 9 10
- Контрастная эхография дает возможность высококлассной визуализации сосудов любого органа, детализации процесса «неоангиогенеза» и топографо-анатомических соотношений зоны поражения, не видимых при обычном УЗИ. 11
- УЗИ с контрастом позволяет снизить потребность в проведении магнитно-резонансной и компьютерной томографии, а также избежать дополнительного ионизирующего и электромагнитного излучения у пациента.
- КУУЗИ имеет серьезные перспективы для использования в лечении онкологических заболеваний посредством таргетной доставки лекарств и метаболитов, а также усиления HIFU-эффекта. 12
Как и любой метод, для проведения которого необходимо использовать внутривенное введение препарата, КУУЗИ имеет ряд ограничений:
- гиперчувствительность к компонентам контрастного вещества;
- острый коронарный синдром и прогрессирующая ишемическая болезнь сердца;
- острая сердечная недостаточность;
- тяжелая аритмия;
- недавно перенесенная операция на коронарных артериях;
- неконтролируемая артериальная гипертензия;
- тяжелая форма легочной гипертензии;
- респираторный дистресс-синдром взрослых;
- необходимость в искусственной вентиляции легких;
- беременность или период лактации;
- детский возраст до 18 лет (для некоторый контрастных агентов). 13
Ультразвуковые системы Mindray для работы с контрастными веществами
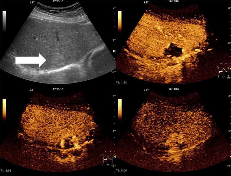
При выполнении УЗИ с контрастированием на аппаратах Mindray используется широкий спектр программного обеспечения, предназначенного как для качественной, так и для количественной оценки визуализируемых изменений. Изображения одновременно демонстрируются и записываются в двух режимах: контрастирования и серошкальном. Результаты исследования фиксируются в виде кинопетель с возможностью дальнейшей обработки и оценки количественных данных.
Ультразвуковые системы Mindray оснащены модулем для проведения контрастной эхографии UWN Plus Contrast Imaging™ с технологией сверхширокополостной нелинейной визуализации UWN+ CEUS. UWN+ CEUS позволяет регистрировать и обрабатывать нелинейные и слабые (низкоамплитудные) сигналы, что значительно повышает детализацию изображения и увеличивает время персистенции контрастного вещества при его меньшей дозировке. Технология эффективно работает как для исследования поверхностных тканей, так и для диагностики изменений глубоких структур. Дополнительно к модулю прилагается пакет программного обеспечения UWN Plus Contrast Imaging™ QA для количественного анализа результатов обследований с применением контрастных веществ.
Volume CEUS — еще одна дополнительная опция, которая позволяет проводить контрастную эхографию в режиме объемного сканирования. Для исследования левого желудочка новейшие УЗИ-аппараты Mindray имеют режим LVO Contrast. Эта технология дает возможность выявлять структурные и функциональные изменения левого желудочка и по чувствительности не уступает МРТ сердца. Кроме того, для модели Mindray Resona 7 предусмотрены расширенные возможности для использования контраста в гинекологической практике.

В линейке ультразвукового оборудования Mindray функция эхоконтрастирования доступна в качестве дополнительной опции в ряде моделей:
- стационарные УЗИ-аппараты:
- портативные системы для ультразвукового исследования:
- переносные модели (планшеты):
Заключение
Ультразвуковое исследование с контрастированием — передовой метод диагностики, позволяющий четко визуализировать даже незначительные изменения сосудистого русла. Оно находит все более широкое применение в онкологической, нефрологической и кардиологической практике. Обладая высокой безопасностью для врача и пациента и чувствительностью, сопоставимой с традиционными МРТ и КТ, контрастная эхокардиография может рассматриваться как высокотехнологичная альтернатива данным методикам, а иногда выступать приоритетным диагностическим исследованием, особенно у пациентов с почечной недостаточностью или наличием других противопоказаний к КТ и МРТ.
Выбор аппарата для УЗИ с контрастом
Для ультразвуковых исследований с контрастированием подходит целый ряд современных аппаратов. Задать вопросы, уточнить характеристики и получить квалифицированную помощь в выборе подходящей модели УЗИ аппарата вы можете у наших специалистов по телефону 8 (800) 500-26-76 или оставив заявку на обратный звонок.





















